Mores | Update Everything

Rational Combination Of Mek Inhibitor And The Stat3 Pathway Modulator

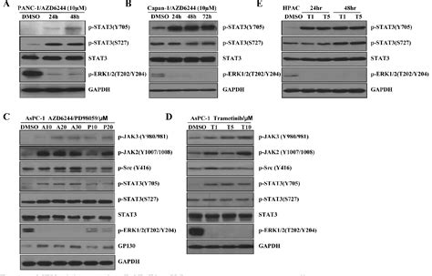
In addition to the information above, here is a curated collection of images related to Rational Combination Of Mek Inhibitor And The Stat3 Pathway Modulator.

  • Kaempferol Inhibits A: Mek/erk And B: Stat3 Signalling Pathways As ...
  • Combinational Inhibition Of Mek And Stat3 Pathways Reduces Colony ...
  • Mek Inhibitors And Proteasome Inhibitors Synergistically Inhibited ...
  • Stat3 Inhibitor, Stattic Abolishes The Stem Cell Marker Expression. (a ...
  • Effect Of Mek Inhibitor Pd98059 And Stat3 Overexpression On ...
Find More About "Rational Combination Of Mek Inhibitor And The Stat3 Pathway Modulator"

Explore exclusive offers, detailed information, and related services about rational combination of mek inhibitor and the stat3 pathway modulator from our trusted partners.

View Special Offers

You Might Also Like