Mores Pics | Update Everything

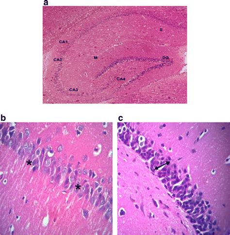
Representative Photomicrographs Depicting H E Stained Hippocampal

Representative Photomicrographs Depicting H E Stained Hippocampal

In addition to the information above, here is a curated collection of images related to Representative Photomicrographs Depicting H E Stained Hippocampal.

  • Representative Photomicrographs Of H&E-Stained Brain Sections Showing ...
  • Photomicrographs Of H&E-Stained Coronal Sections Of Hippocampal Region ...
  • Representative Photomicrographs Of The Hippocampus Of Control And ...
  • Representative Photomicrographs Of H&E-Stained Sections Of Brain. (A ...
  • Photomicrographs Of H&E Stained Sections Of CA1 Region Of The ...
Find More About "Representative Photomicrographs Depicting H E Stained Hippocampal"

Explore exclusive offers, detailed information, and related services about representative photomicrographs depicting h e stained hippocampal from our trusted partners.

View Special Offers