Mores | Update Everything

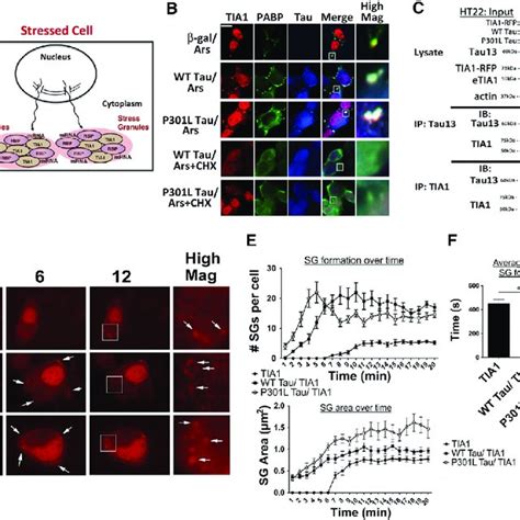
Tia1 Reduction Prevents Neurotoxicity Induced By Oligomeric Tau

In addition to the information above, here is a curated collection of images related to Tia1 Reduction Prevents Neurotoxicity Induced By Oligomeric Tau.

  • (pdf) Interaction Of Tau With The Rna-binding Protein Tia1 Regulates ...
  • Tia1 Reduction Decreases Soluble Tau Oligomers In Ps19 Mice A-c ...
  • Tia1 Reduction Leads To An Age-dependent Increase In Tau... | Download ...
  • Yulia Ilina On Linkedin: Oligomeric Tau-induced Oxidative Damage And ...
  • Tia1 Reduction Shifts The Biochemical And Structural Properties Of Tau ...
Find More About "Tia1 Reduction Prevents Neurotoxicity Induced By Oligomeric Tau"

Explore exclusive offers, detailed information, and related services about tia1 reduction prevents neurotoxicity induced by oligomeric tau from our trusted partners.

View Special Offers

(PDF) Tau Oligomers Neurotoxicity

(PDF) Tau Oligomers Neurotoxicity

Source: i1.rgstatic.net

You Might Also Like