In addition to the information above, here is a curated collection of images related to Dental Composite Bonding A Comprehensive Guide.
- Composite Bonding - Holistic Dental Centre London
- Composite Bonding In Blanchardstown | Beechview Dental
- Machealers - Composite Bonding In Türkiye
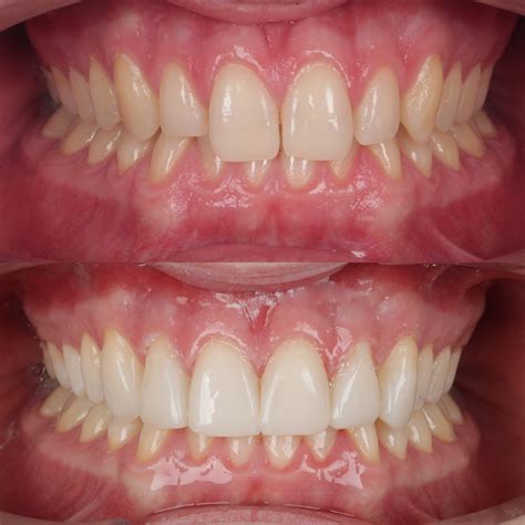
- What Is Composite Bonding? | Before & After Teeth Examples
- Dental Composite Bonding - A Comprehensive Guide
 
                             
                             
                             
                            