Mores Pics | Update Everything

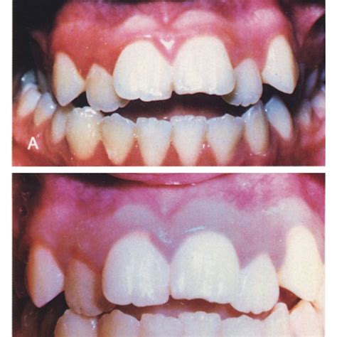
Figure 6 From Rapid Palatal Expansion And Utilization Of E Space In

Figure 6 From Rapid Palatal Expansion And Utilization Of E Space In

In addition to the information above, here is a curated collection of images related to Figure 6 From Rapid Palatal Expansion And Utilization Of E Space In.

  • Figure 6 From Rapid Palatal Expansion And Utilization Of E-Space In ...
  • Stability Of Orthopedic And Surgically Assisted Rapid Palatal Expansion ...
  • Palatal Expansion (Rapid Maxillary Expansion) | BüCco
  • (PDF) Effects Of Rapid Palatal Expansion On The Upper Airway Space In ...
  • Rapid Palatal Expansion Appliance | Download Scientific Diagram
Find More About "Figure 6 From Rapid Palatal Expansion And Utilization Of E Space In"

Explore exclusive offers, detailed information, and related services about figure 6 from rapid palatal expansion and utilization of e space in from our trusted partners.

View Special Offers

Palatal Expansion Technique | Semantic Scholar

Palatal Expansion Technique | Semantic Scholar

Source: d3i71xaburhd42.cloudfront.net

Rapid Palatal Expansion

Rapid Palatal Expansion

Source: blogger.googleusercontent.com