Mores Pics | Update Everything

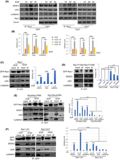
Functional Mutation In A Predicted Specificity Position Of Rac1

Functional Mutation In A Predicted Specificity Position Of Rac1

In addition to the information above, here is a curated collection of images related to Functional Mutation In A Predicted Specificity Position Of Rac1.

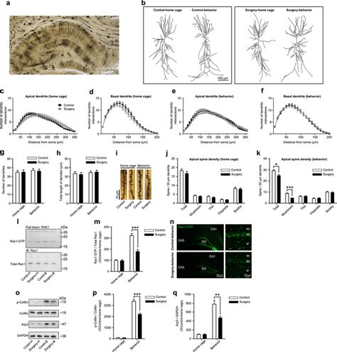
  • Surgery Impaired Spine Structural Plasticity And Decreased The Activity ...
  • Post-Translational Modification And Subcellular Distribution Of Rac1 ...
  • Impairment Of Rac1-GEF Activity By S696A Or Y1062F Mutation. A, Rac1 ...
  • Integrin α3β1-Dependent Activation Of FAK/Src Regulates Rac1-Mediated ...
  • Spatiotemporal Activation Of Rac1 For Engulfment Of Apoptotic Cells | PNAS
Find More About "Functional Mutation In A Predicted Specificity Position Of Rac1"

Explore exclusive offers, detailed information, and related services about functional mutation in a predicted specificity position of rac1 from our trusted partners.

View Special Offers

Publications - Herring Lab

Publications - Herring Lab

Source: dornsife.usc.edu