In addition to the information above, here is a curated collection of images related to Helq Promotes The Nuclease Activity Of Exo1 In Vitro A B Nicked.
- (a) Effect On Helq Helicase Activity Of Varying The Length Of Available ...
- (continued) Experiments. Hek293#1 And #2 = Nqo1 Overexpressing Cells ...
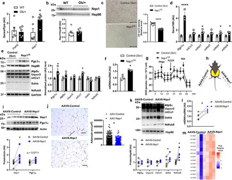
- Overexpression Of Nqo1 Enhances Mitochondrial Biogenesis In Vitro And ...
- Figure 4 From Human Exonuclease 1 (exo1) Activity Characterization And ...
- Characterization Of Exosomes From Hep3b And Sk-hep1 Cells. (a ...
 
                             
                             
                             
                            