In addition to the information above, here is a curated collection of images related to Histological Analyses Of The Hippocampus A Hippocampus The Arrows.
- Histological Sections Of The Hippocampus Of The Study Groups. (a ...
- Histological Section Of The Hippocampus. These Drawings Were Published ...
- Principal Stages For The Hippocampus, With Dark Arrows Indicating The ...
- Histological Verification Of Virus Infection In Hippocampus. (a And B ...
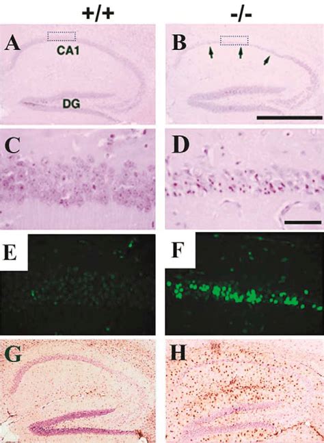
- Histological Analyses Of Hippocampus Tissue Of The Mice. H&e (a) And ...
 
                             
                             
                             
                             
                            