In addition to the information above, here is a curated collection of images related to Histological Architecture Of Rat Cortex Brain Stained With H E 400 X.
- Histological Findings Of The Brain. Exemplary H & E-stained Sections ...
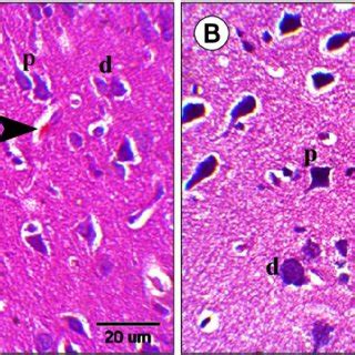
- Histological Architecture Of Rat Cortex Brain Stained With H&e. 400 X ...
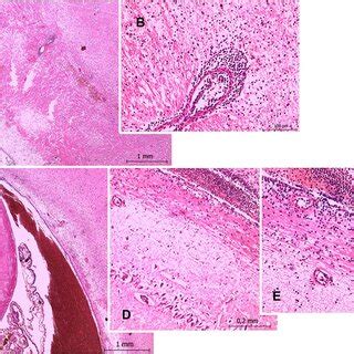
- Histological Changes In Rat Cerebral Cortex Stained With H&e After ...
- Representations Of The H&e Stained Cerebral Cortex Sections For The ...
- (a) Histological Image Of An H&e Stained Brain Section. (b ...
 
                             
                             
                             
                             
                            