Mores Pics | Update Everything

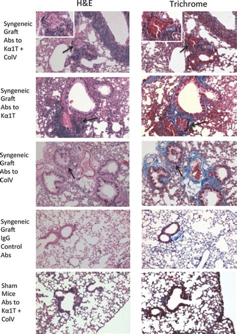
Histology Of Lung Graft From Recipient Immunized With Donor Derived

Histology Of Lung Graft From Recipient Immunized With Donor Derived

In addition to the information above, here is a curated collection of images related to Histology Of Lung Graft From Recipient Immunized With Donor Derived.

  • Early Alloimmune Responses And Lung Graft Rejection. Histological ...
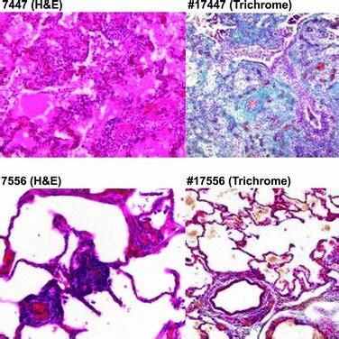
  • 4: Histology Of Lung Tissues In The Four Study Groups At 4 Weeks After ...
  • Histological Assessment After Sacrifice. A, Lung Graft Tissue From The ...
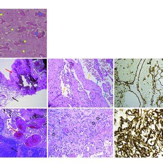
  • Histology, T Cell And Macrophage Accumulation In Lung Grafts (A ...
  • Donor History Of The 21 Included EVLP Lung Grafts. | Download ...
Find More About "Histology Of Lung Graft From Recipient Immunized With Donor Derived"

Explore exclusive offers, detailed information, and related services about histology of lung graft from recipient immunized with donor derived from our trusted partners.

View Special Offers