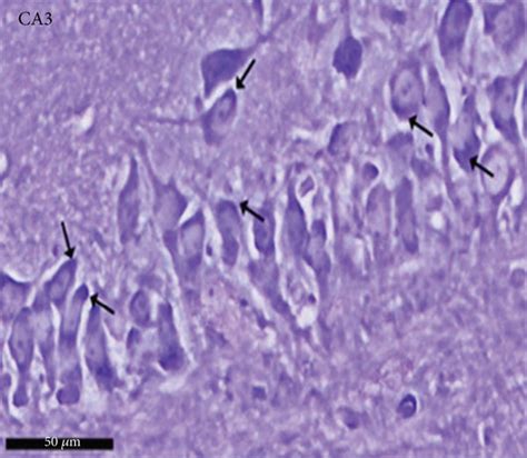
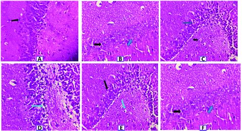
In addition to the information above, here is a curated collection of images related to Histopathological Analysis In Rat Hippocampus Representative Images Of.
- Histopathological Analysis In Rat Hippocampus. Representative Images Of ...
- Hippocampus Of Rat Tissue (h&e Staining). (a): Control Group; (b ...
- Rat Hippocampus Section In Co-treated Rat With Gingko Biloba Group ...
- Histological Analysis Of Rat Hippocampus 3 Months After... | Download ...
- Histopathological Examination Of Hippocampus Region Of The Rat Brain ...
 
                             
                             
                             
                            