Mores Pics | Update Everything

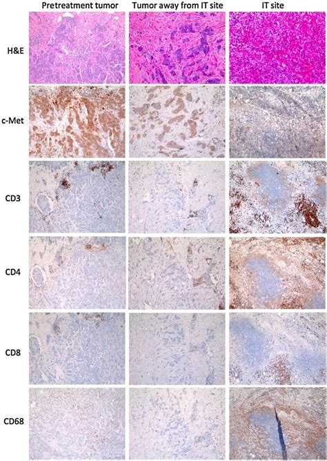
Ihc Analysis Of Immune Cells Infiltration In Tumor Tissue Ihc Staining

Ihc Analysis Of Immune Cells Infiltration In Tumor Tissue Ihc Staining

In addition to the information above, here is a curated collection of images related to Ihc Analysis Of Immune Cells Infiltration In Tumor Tissue Ihc Staining.

  • The Immunohistochemistry (IHC) Analysis. A The Collection Of IHC ...
  • Immune Cell Infiltration Into The Tumor Microenvironment. A ...
  • Immunohistochemistry (IHC) Analysis Of Immune... | Download Scientific ...
  • Immunohistochemistry (IHC) Staining Of Implanted Scaffolds. A–C) IHC ...
  • Variable Infiltration Of Human HS By T Cells. IHC Staining For CD3 In A ...
Find More About "Ihc Analysis Of Immune Cells Infiltration In Tumor Tissue Ihc Staining"

Explore exclusive offers, detailed information, and related services about ihc analysis of immune cells infiltration in tumor tissue ihc staining from our trusted partners.

View Special Offers