Mores Pics | Update Everything

Irf 5 E7f9w Rabbit Mab Alexa Fluorr 488 Conjugate Or Cell Signaling

Irf 5 E7f9w Rabbit Mab Alexa Fluorr 488 Conjugate Or Cell Signaling

In addition to the information above, here is a curated collection of images related to Irf 5 E7f9w Rabbit Mab Alexa Fluorr 488 Conjugate Or Cell Signaling.

  • IRF-5 (E1N9G) Rabbit MAb | Cell Signaling Technology
  • IRF-5 (E7F9W) Rabbit MAb (BSA And Azide Free) | Cell Signaling Technology
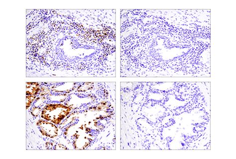
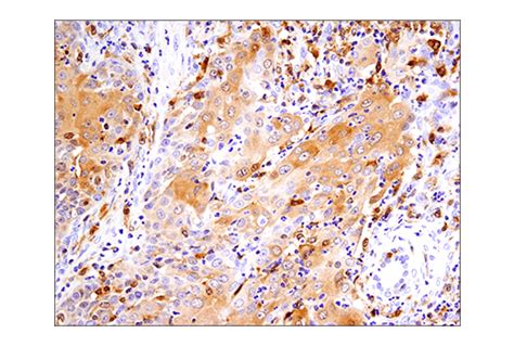
  • IRF-5 (E7F9W) Rabbit MAb | Cell Signaling Technology
  • TNF-R2 (E8D7P) Rabbit MAb (Alexa Fluor® 488 Conjugate) | Cell Signaling ...
  • IRF-5 (E7F9W) Rabbit MAb (Alexa Fluor® 647 Conjugate) | Cell Signaling ...
Find More About "Irf 5 E7f9w Rabbit Mab Alexa Fluorr 488 Conjugate Or Cell Signaling"

Explore exclusive offers, detailed information, and related services about irf 5 e7f9w rabbit mab alexa fluorr 488 conjugate or cell signaling from our trusted partners.

View Special Offers