In addition to the information above, here is a curated collection of images related to Mapk7 Amplification Correlates With Protein Expression And Drives.
- Mapk Signaling Pathway-related Protein Expression Levels In Testis. *p ...
- Expression Levels Of Mapk Signaling Pathway Components. (a) Expression ...
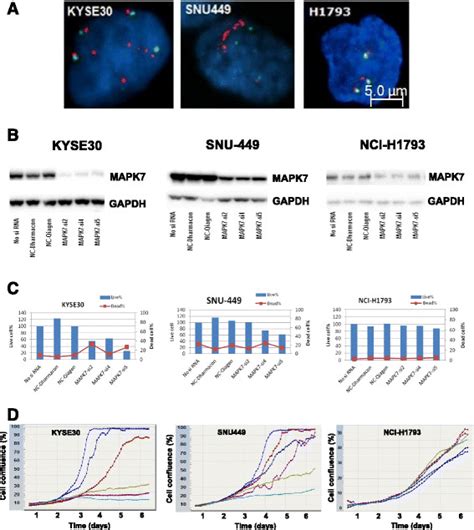
- Representative Fish Data Showing Mapk7 Gene Amplification In Nsclc And ...
- Overexpression Mapk7 Reversed The Inhibitory Effects Of Mapk7 On The ...
- Mapk7 Fusion Protein Ag1648 | Proteintech
 
                             
                             
                             
                            