In addition to the information above, here is a curated collection of images related to Morphological Features Of Sciatic Nerves Transmission Electron.
- Showing Transmission Electron Micrographs Of Sciatic Nerves Of Rats. [a ...
- Representative Transmission Electron Micrographs Showing The ...
- Ultrastructural Alterations In Prnpo/o Sciatic Nerves. (a–h) Electron ...
- Transmission Electron Microscopy Results Of The Sciatic Nerves In ...
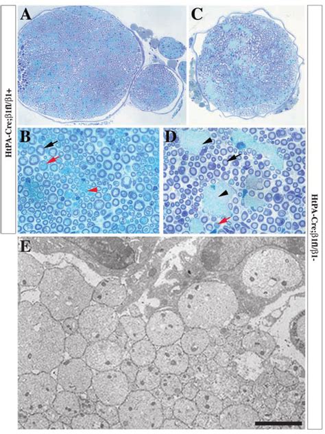
- Morphological Analysis Of Sciatic Nerves. Semithin Sections Of Sciatic ...
 
                             
                             
                             
                             
                            