Mores Pics | Update Everything

Paracoccidioidomicosisproctitissarcomucosis Gore Garage Crew Amc

Paracoccidioidomicosisproctitissarcomucosis Gore Garage Crew Amc

In addition to the information above, here is a curated collection of images related to Paracoccidioidomicosisproctitissarcomucosis Gore Garage Crew Amc.

  • Paracoccidioidomicosisproctitissarcomucosis-Live Groteskko Fest 2 Cdmx ...
  • Paracoccidioidomycosis. Multiple Hypointense Lesions On T2-Weighted ...
  • PARACOCCIDIOIDOMICOSISPROCTITISSARCOMUCOSIS Live In Katowice, Poland 20 ...
  • Paracoccidioidomicosisproctitissarcomucosis : [...] (Live In Paris ...
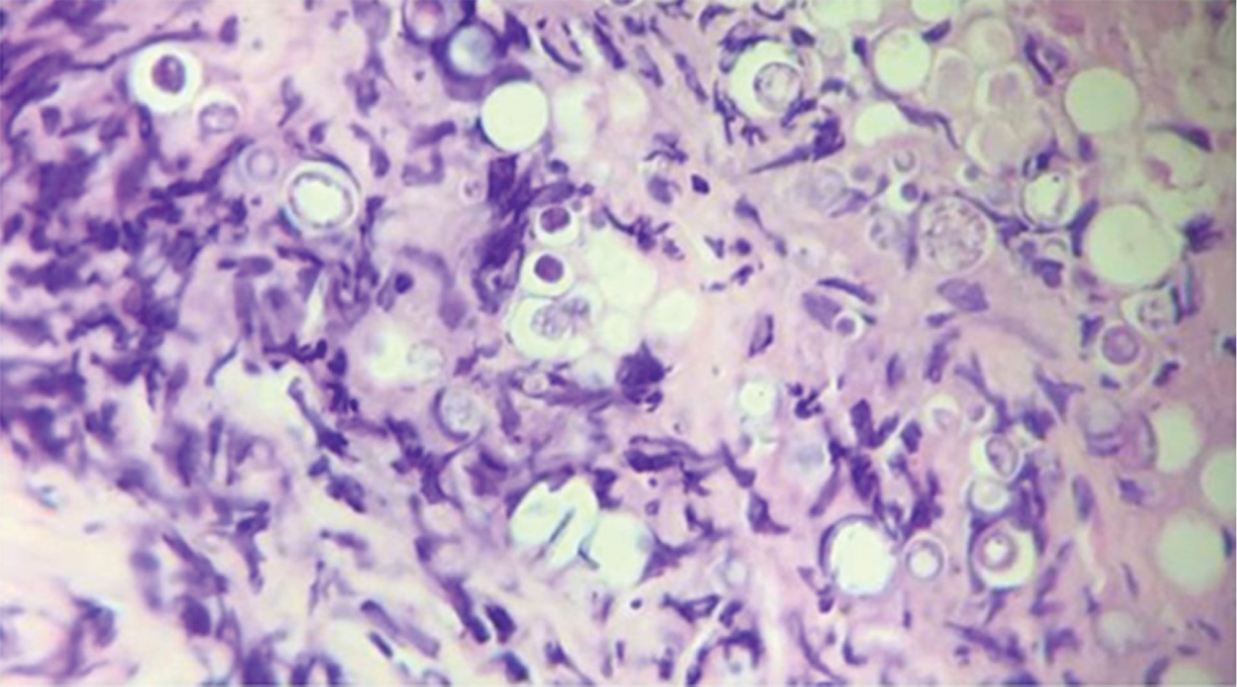
  • Paracoccidioidomycosis Histology
Find More About "Paracoccidioidomicosisproctitissarcomucosis Gore Garage Crew Amc"

Explore exclusive offers, detailed information, and related services about paracoccidioidomicosisproctitissarcomucosis gore garage crew amc from our trusted partners.

View Special Offers

SOLUTION: Paracoccidiomycosis - Studypool

SOLUTION: Paracoccidiomycosis - Studypool

Source: sp-uploads.s3.amazonaws.com

Paracoccidioidomycosis | PPT

Paracoccidioidomycosis | PPT

Source: cdn.slidesharecdn.com

Paracoccidioidomycosis Histology

Paracoccidioidomycosis Histology

Source: www.researchgate.net

Pin on Derm Path

Pin on Derm Path

Source: i.pinimg.com