In addition to the information above, here is a curated collection of images related to Pathological Changes Of The Hippocampus In Vd Rats He Staining 200.
- Pathological Injuries And Ultrastructure Changes In Hippocampus Of Rats ...
- Damage Of Neurons In The Hippocampus Of Cih Mouse. (a) H&e Staining Of ...
- Representive He Staining Of The Hippocampus Of Cg/sham/pocd/dex Rats ...
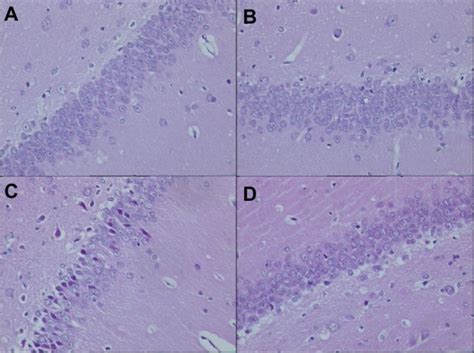
- Pathological Changes Of The Hippocampus In Vd Rats (he Staining, ×200 ...
- Effects Of Ck On The Neuronal Damage In Hippocampus Of Vd Rats. (a) H&e ...
 
                             
                             
                            