Mores Pics | Update Everything

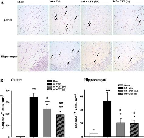
Tet Decreases Neuronal Apoptosis In The Cortex And Hippocampus

Tet Decreases Neuronal Apoptosis In The Cortex And Hippocampus

In addition to the information above, here is a curated collection of images related to Tet Decreases Neuronal Apoptosis In The Cortex And Hippocampus.

  • Comparison Of The Number Of Neuronal Apoptosis In The Hippocampus Of ...
  • The Frequency Of Apoptosis Is Elevated Fourfold In Cerebral (Cortex And ...
  • Tet Decreases Neuronal Apoptosis In The Cortex And Hippocampus ...
  • Experimental Timeline And Hippocampal Neuronal Loss In Aged CaM/Tet-DT ...
  • Synaptic Degeneration And Neuronal Loss In The Cortex And Hippocampus ...
Find More About "Tet Decreases Neuronal Apoptosis In The Cortex And Hippocampus"

Explore exclusive offers, detailed information, and related services about tet decreases neuronal apoptosis in the cortex and hippocampus from our trusted partners.

View Special Offers