Mores.Pics | Update Everything

Verteporfin Bpd Ma Yap Inhibitor Targetmol

In addition to the information above, here is a curated collection of images related to Verteporfin Bpd Ma Yap Inhibitor Targetmol.

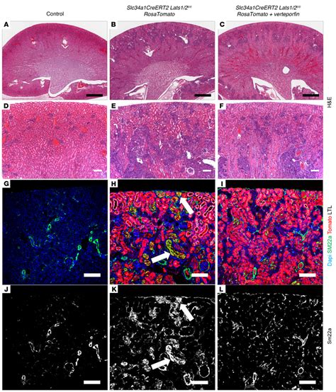
  • Verteporfin Treatment Decreases The Expression Of Key Profibrotic Genes ...
  • Verteporfin Inhibit Yap Signaling In Tnbc Cells. Vp Significantly ...
  • (pdf) Verteporfin Inhibits Yap-induced Bladder Cancer Cell Growth And ...
  • Demonstrates The Interaction Between Verteporfin And Yap/taz-tead In ...
  • Yap Inhibitor, Verteporfin (vp) Suppresses The Cell Proliferation Of ...
Find More About "Verteporfin Bpd Ma Yap Inhibitor Targetmol"

Explore exclusive offers, detailed information, and related services about verteporfin bpd ma yap inhibitor targetmol from our trusted partners.

View Special Offers

You Might Also Like