Mores | Update Everything

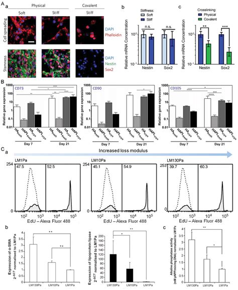
Viscoelastic Cell Microenvironment Mediates Cell Phenotype A

In addition to the information above, here is a curated collection of images related to Viscoelastic Cell Microenvironment Mediates Cell Phenotype A.

  • A Three-dimensional Viscoelastic Model For Cell Deformation With ...
  • Effect Of The Microenvironment On Cell Fates. Some Key... | Download ...
  • Cellular Control Of Viscosity Counters Changes In Temperature And ...
  • Viscoelastic Cell Microenvironment Controls Cell Spreading. A) 2d ...
  • Viscoelastic Cell Microenvironment Regulates Maintenance Of Stemness ...
Find More About "Viscoelastic Cell Microenvironment Mediates Cell Phenotype A"

Explore exclusive offers, detailed information, and related services about viscoelastic cell microenvironment mediates cell phenotype a from our trusted partners.

View Special Offers

You Might Also Like