In addition to the information above, here is a curated collection of images related to Histological Alteration Of Mice Brain Cerebellum Lead Intoxicated Mice.
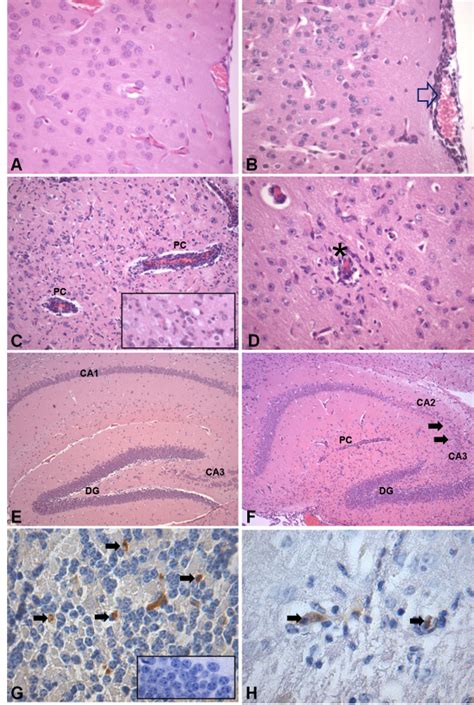
- Histopathology Of Brain Specimens From Mice In Which Seizures Were ...
- Abnormal Development Of The Cerebellum In Mutant Mice Lacking Shh ...
- Histopathological Analysis Of Mice Brain And Cerebellum. A Regular ...
- Histological Alterations (×40) Seen In Mice Brains After Swcnts ...
- Histological Examination Of Brain Harvested From Mice Infected With 459 ...
 
                             
                            