Mores | Update Everything

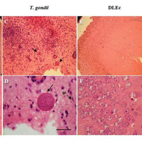
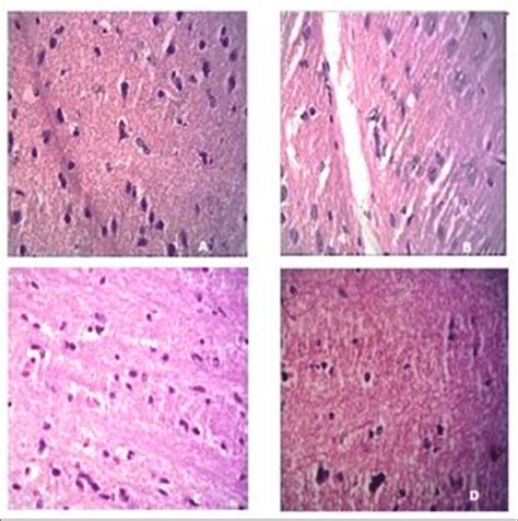
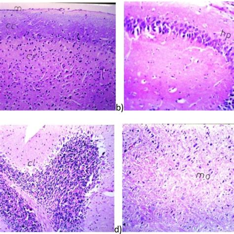
Histopathology Of Brain Specimens From Mice In Which Seizures Were

In addition to the information above, here is a curated collection of images related to Histopathology Of Brain Specimens From Mice In Which Seizures Were.

  • Microscopic Study Of Mice Brain. Histological Sections Of Brain Were ...
  • Pathological Changes In Mice Brain Tissue Exposed To Tio 2 Nps. The ...
  • Histological Alteration Of Mice Brain Cerebellum: Lead Intoxicated Mice ...
  • Histopathology Of Brain From Mice. (a) Control; B) Sample Treated ...
  • Histology Of Mice Brain Infected With P. Berghei. (a,b): Infected B6 ...
Find More About "Histopathology Of Brain Specimens From Mice In Which Seizures Were"

Explore exclusive offers, detailed information, and related services about histopathology of brain specimens from mice in which seizures were from our trusted partners.

View Special Offers

You Might Also Like